Новорожденная гонконгская девочка оказалась беременной двумя братьями
Новорожденная гонконгская девочка оказалась беременной двумя братьями
В момент рождения гонконгская девочка оказалось беременной двумя братьями. О развитии и причинах этого редчайшего синдрома сообщает Live Science.
Случаи эмбриона в эмбрионе происходят в среднем один раз на полмиллиона беременностей. О причинах этого явления врачи и ученые спорят. Всемирная организация здравоохранения считает плод внутри новорожденного младенца тератомой (вид опухоли), но гонконгские врачи утверждают, что у их пациентки в организме нашлись два плода близнецов, изначально здоровых, но в ходе беременности поглощенных телом их сестры.
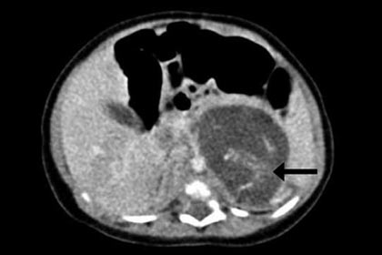
Новорожденную девочку поместили под особое наблюдение гинекологов – врачи подозревали у нее опухоль. Ультразвуковое обследование еще перед родами указало на странное утолщение в брюшной полости.
В итоге трехнедельной девочке сделали операцию: между печенью и почкой хирурги обнаружили два плода. Один из них весил 9,3 грамма, другой — 14,2 грамма, что соответствует примерно восьмой и десятой неделе беременности. У обоих младенцев нашли пуповину, соединенную с плацентоподобной массой в животе девочки.
Очевидно, что девочка была слишком мала, чтобы зачать плод самостоятельно. Скорее всего, она была одной из тройняшек. По мере развития плода по непонятной причине два небольших плода были поглощены телом третьего. На тот момент они еще были здоровыми и способными к развитию.
За всю историю современной медицины было отмечено всего 200 случаев плода в плоде. По мнению американского гинеколога Дрэйона Берча (Draion Burch), плод в плоде может быть лишь частным случаем куда более распространенного явления – «исчезающих близнецов» (рассасывания плод). В этих случаях один из близнецов полностью или частично поглощается другим в ходе беременности (причем мать часто не замечает ничего странного).
Источник: http://lenta.ru
